Get straighter teeth with Invisalign
Invisalign
If you'd like straighter teeth but want to avoid fixed metal braces, Invisalign clear aligners could be the right option for you. Book a consultation at our Lichfield practice on Beacon Street to find out more.

Clear aligners at Beacon Park Dental
Clear aligners gradually move your teeth into a better position using a series of custom-made, removable trays. Because they're transparent, most people won't notice you're wearing them at all.
Our principal dentist, Vicki Hunter, has been Invisalign trained since 2010 and has helped more than 50 patients across Lichfield achieve straighter smiles using clear aligners.
At your consultation, she'll take the time to explain how Invisalign treatment works, show you what your results could look like, and answer any questions before you decide whether to go ahead.

What are clear aligners?
Clear aligners are removable trays made from smooth, transparent plastic. You wear each set for a short period before moving on to the next, as they gradually guide your teeth into the right position.
Clear aligners can straighten crowded teeth, close gaps between your teeth, and fix alignment issues like overbites, underbites, or crossbites,
Unlike fixed metal braces, you can take aligners out to eat, drink, and clean your teeth, so there's very little disruption to your daily routine. Using our digital 3D scanner, we can map your teeth precisely and show you a simulation of your expected results before treatment even begins.

Benefits of clear aligners
Discreet
Nearly invisible during wear
Removable
Take them out for meals and cleaning
Comfortable
Smooth plastic with no wires or brackets
Predicatable
See your expected results in advance
How much does Invisalign cost?
The cost of Invisalign clear aligners depends on how much movement your teeth need and how long you'll need to use clear aligners for. You can find our current prices on our pricing page, and we'll give you a personalised quote at your consultation, with no obligation to proceed.
If you'd like to spread the cost of straightening your teeth with clear aligners, we offer interest-free payment plans through Tabeo over 3, 6, 10, or 12 months.

Getting clear aligners with Beacon Park Dental
Book a consultation
Get in touch to arrange an appointment with Vicki, our principal dentist. She'll assess your teeth and talk you through whether clear aligners are right for you.
Your treatment plan
Using our digital 3D scanner, we'll take precise images of your teeth — no impressions needed. You'll be able to see a simulation of your results before we begin.
Wear your aligners
You'll receive your custom clear aligners and wear each set as directed, returning for occasional check-ups so we can monitor your progress.
Over 15 years of Invisalign experience in Lichfield
Vicki Hunter, our principal dentist, has been providing Invisalign treatment from our Beacon Street practice since 2010 – giving her more than 15 years of experience straightening teeth in Lichfield. She also treats patients from the surrounding areas, including Fradley, Burntwood, and Whittington.
Before your Invisalign treatment begins, we’ll use our digital 3D scanner to map your teeth precisely. This allows us to show you a simulation of your expected results, so you can see how your straighter teeth will look before you start wearing your clear aligners.

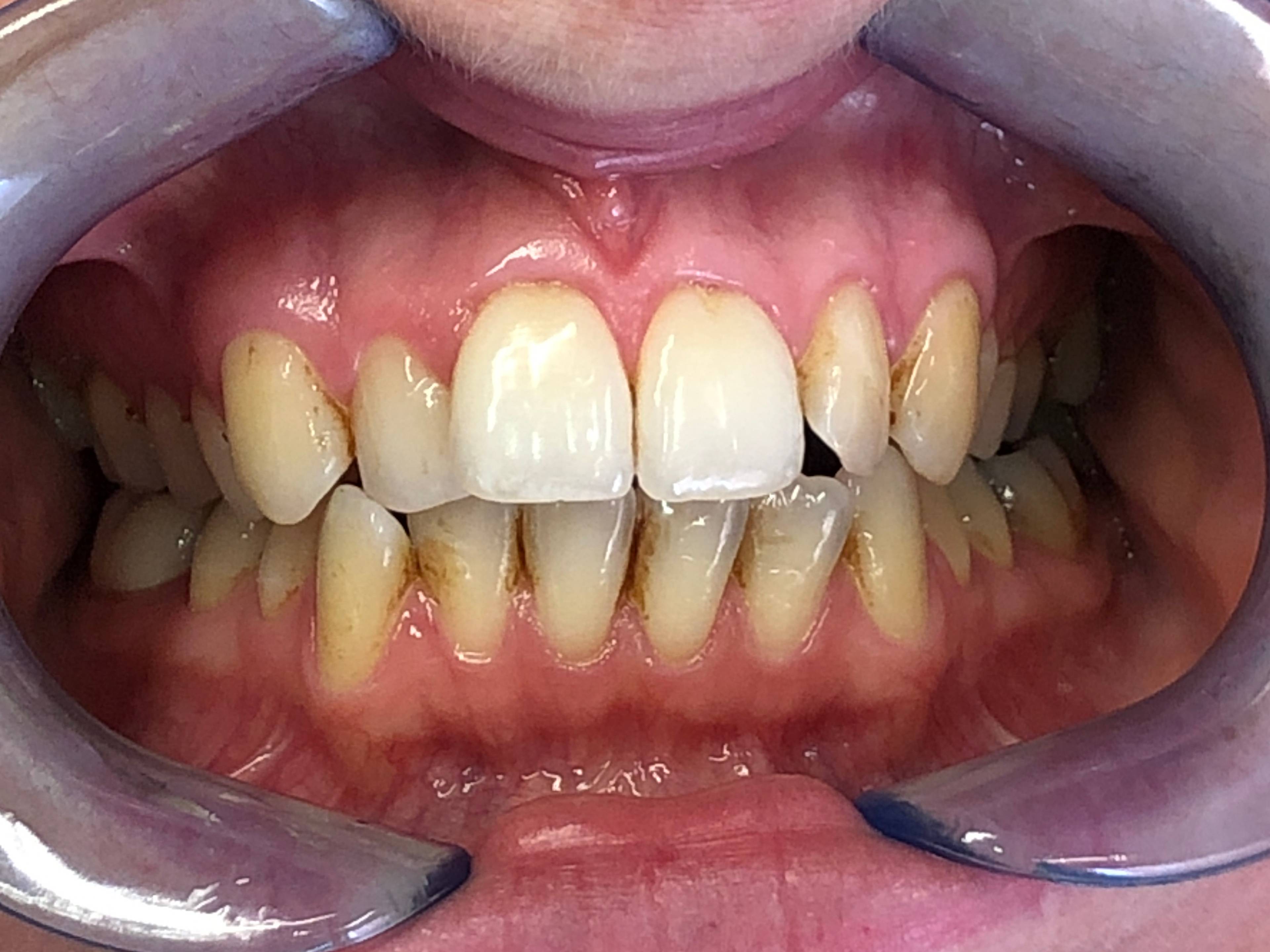
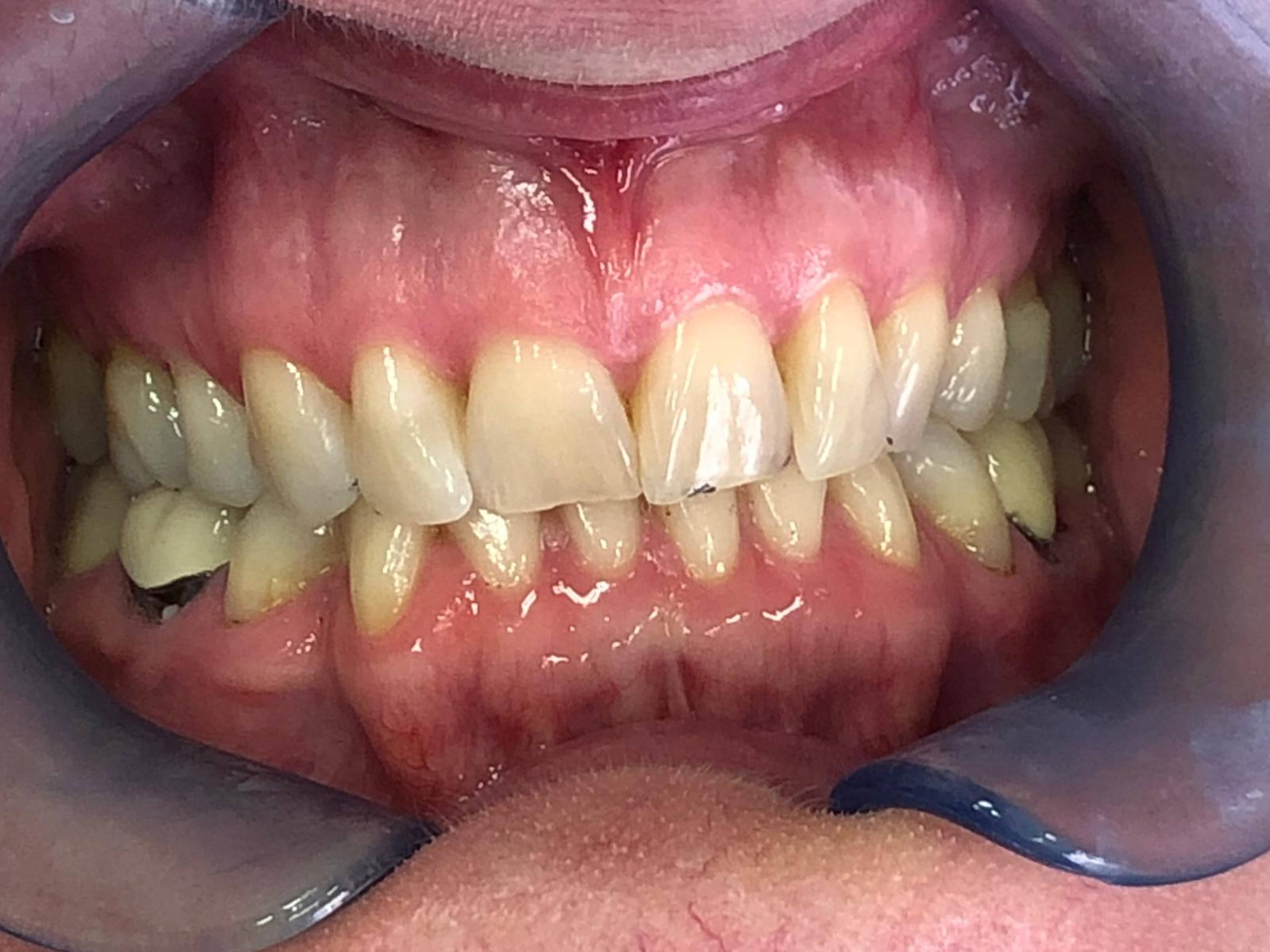
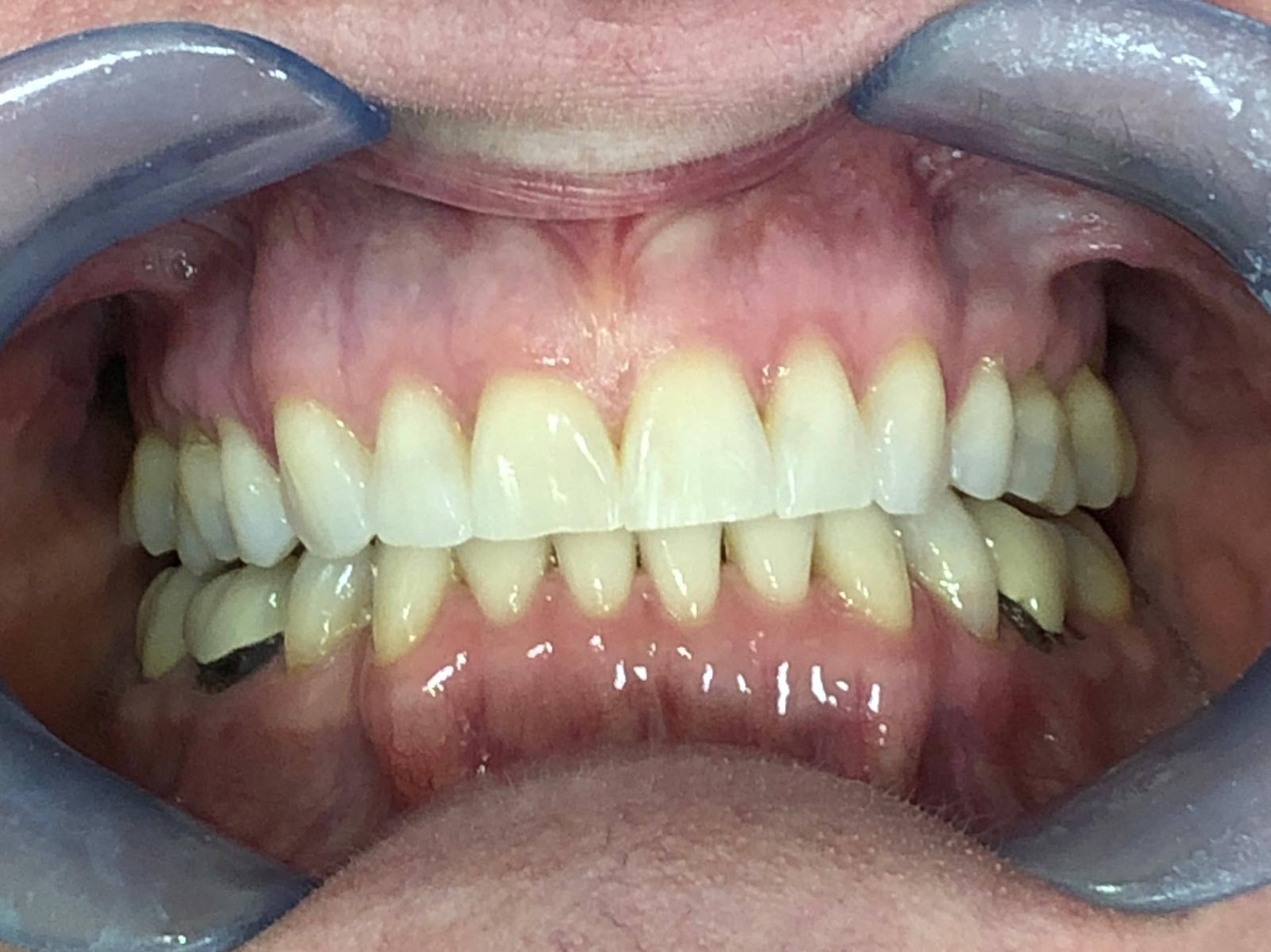
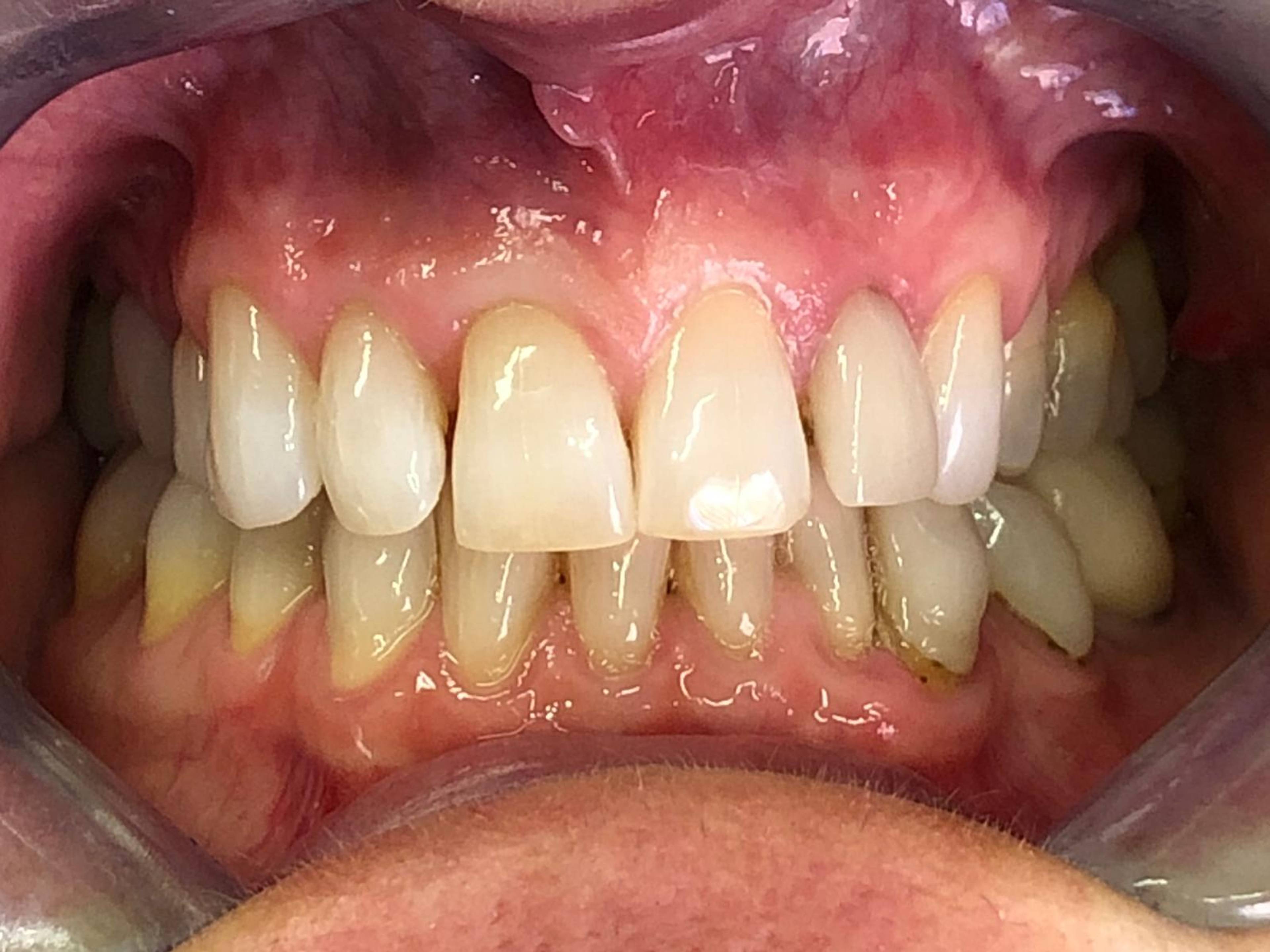
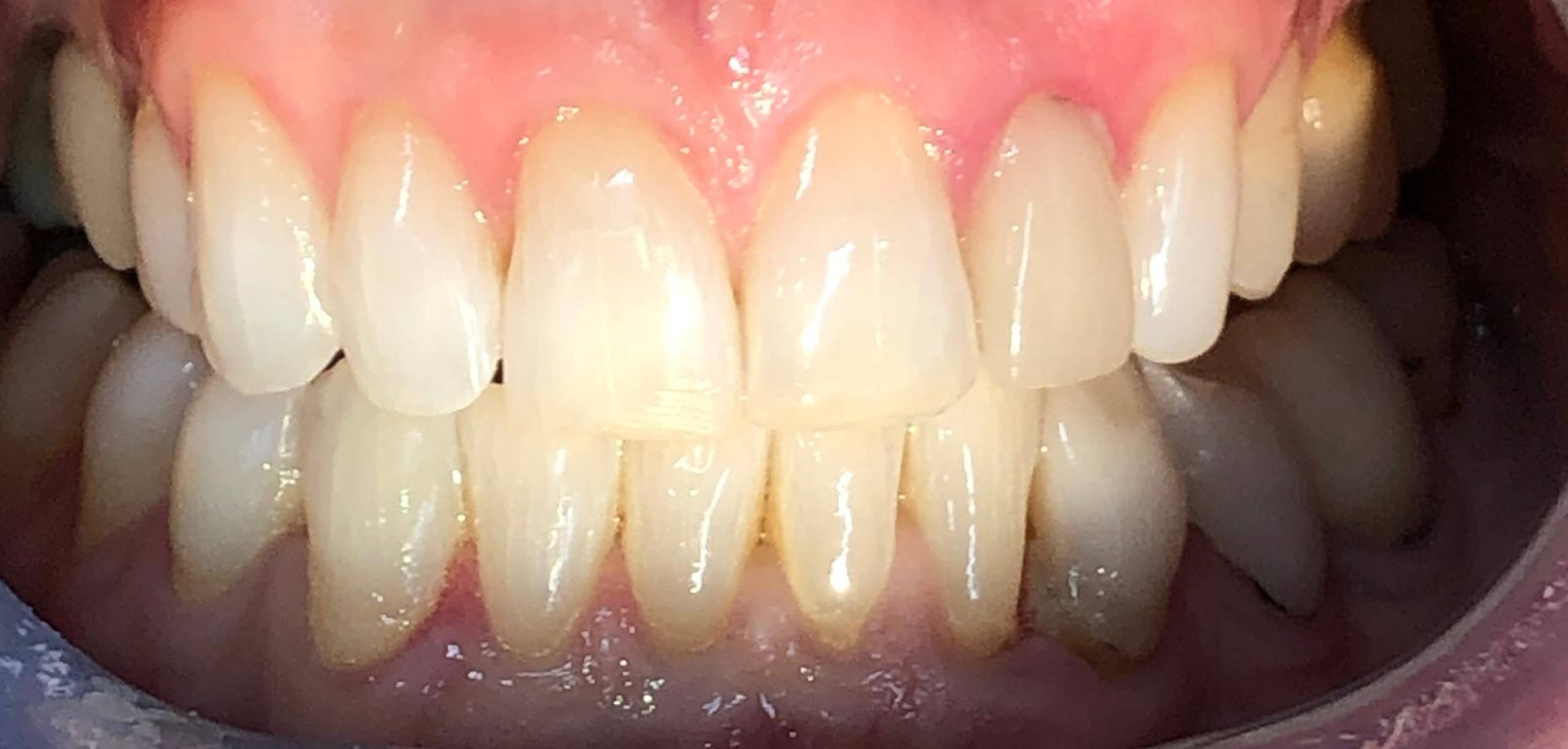
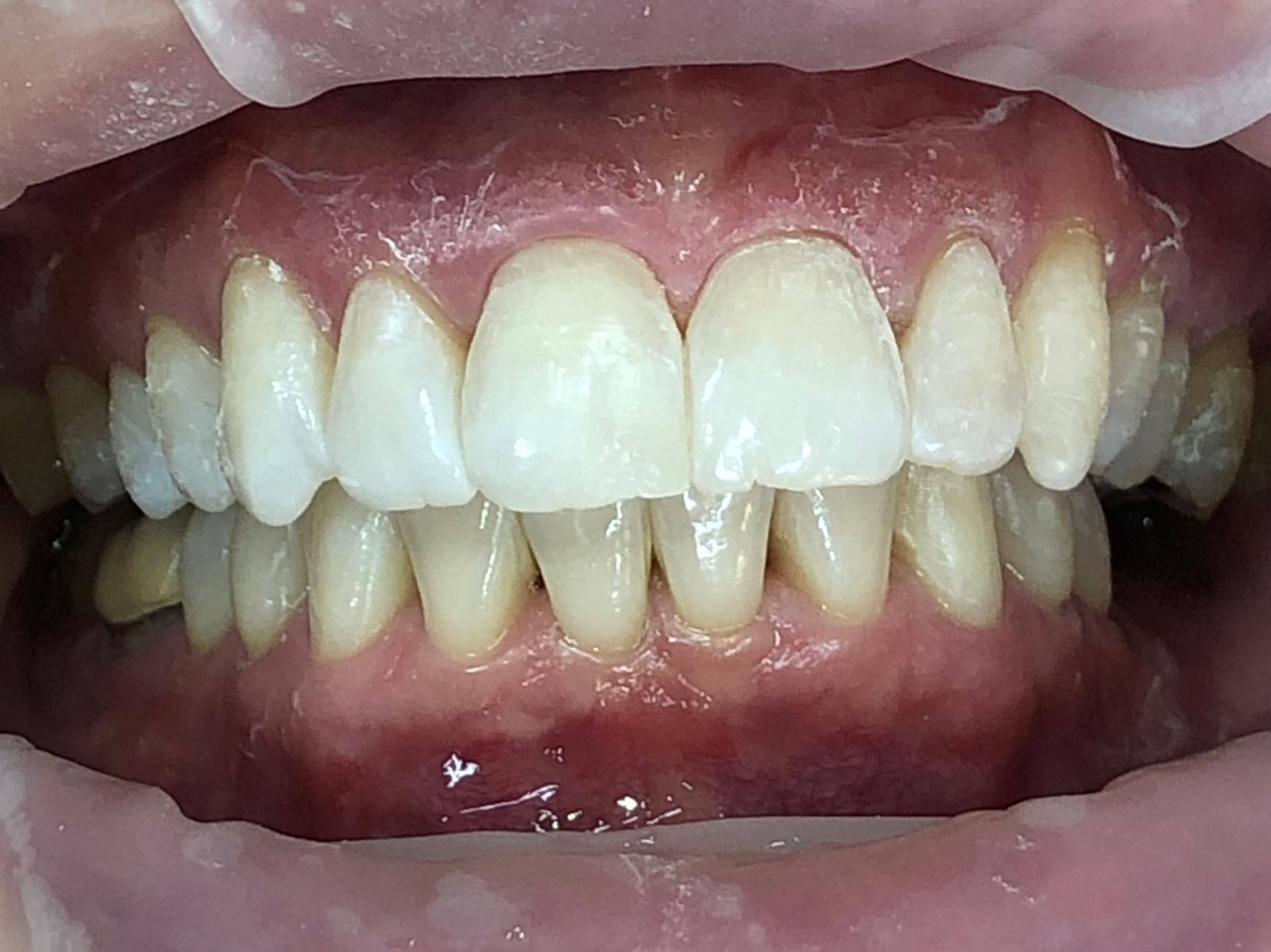
Invisalign before and after


Invisalign and tooth whitening patient


Invisalign and tooth whitening patient


Invisalign patient


Invisalign and tooth whitening patient

Take the first step towards straighter teeth
Book a consultation with our principal dentist Vicki to find out whether Invisalign is right for you. There's no pressure to proceed, it's simply a chance to talk through your options and see what's possible.

Contact Beacon Park Dental
If you're ready to book a consultation, or just have some more questions about Invisalign, you can use our contact form to get in touch with our team.
If you prefer, you can call us during our opening times (Tuesday-Friday 09:00-17:00) on 01543 268534.